Новое исследование среди участников Всемирного торгового центра (ВТЦ) с хроническим посттравматическим стрессовым расстройством (ПТСР) выявило измеримые физические изменения в структуре их мозга, соответствующие изменениям в балансе миелинизированных и немиелинизированных нейронов (быстро- и медленнопроводящих нервных клеток) в обоих полушариях мозга. Эти изменения были наиболее сильно связаны с повторным возникновением симптомов у людей с посттравматическим стрессовым расстройством. Кортикальные различия, обнаруженные в этом сложном исследовании визуализации в книге Биологическая психиатрия: когнитивная нейронаука и нейровизуализация, опубликованном Elsevier, могут служить суррогатными биомаркерами нарушения здоровья мозга у людей, страдающих хроническим посттравматическим стрессовым расстройством, а также потенциально определять стратегии раннего скрининга.
После краха ЦМТ многие люди пережили тяжелую травму, и у 23% пациентов, ответивших на ЦМТ, развилась болезнь. ПТСР. Частично это проявляется в виде неконтролируемых навязчивых воспоминаний о травматических событиях, связанных с событиями-провоцирующими событиями, в сочетании с повышенной реактивностью стресса и повышенной осведомленностью об окружающей среде.
Главный редактор журнала Биологическая психиатрия: когнитивная нейронаука и нейровизуализация Кэмерон С. Картер, доктор медицинских наук, Медицинская школа Калифорнийского университета в Ирвайне, комментирует: «Хотя предыдущие исследования дают подсказки Что касается роли неврологических изменений при посттравматическом стрессовом расстройстве, то на сегодняшний день важность кортикальной микроструктуры и роль кортикальной миелинизации не совсем понятны».
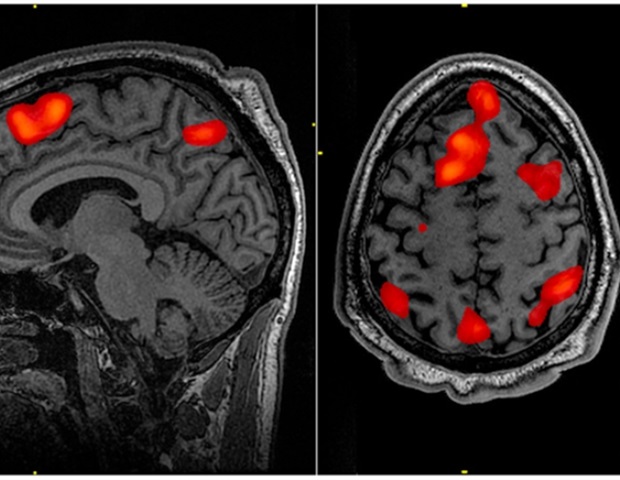
В этом исследовании использовалась нейровизуализация с серо-белым контрастом (GWC), метод на основе МРТ, призванный улучшить исследования здоровья нейронов у травмированных людей. GWC действует как показатель внутрикортикальной плотности миелинизации, исследуя кажущуюся размытость границы раздела белого и серого вещества на основе различий в интенсивности сигнала. Увеличение контрастности представляет собой более резкую границу, указывающую на здоровый переход от серого вещества к белому веществу головного мозга. Менее четкая граница (низкая GWC) предполагает аномальную концентрацию миелина (жирового изолирующего слоя), что указывает на нарушение скорости и последовательности обработки данных в мозге.
Мы смогли определить направление и место изменения, варьируя глубину, на которой отбирались сигналы. Есть несколько вещей, которые могут изменить сигнал серого вещества, поэтому мы считаем, что это открытие может отражать изменения в концентрации миелинизированных нейронов в сером веществе. Затем мы сравнили GWC с другими показателями здоровья коры головного мозга, ранее связанными с посттравматическим стрессовым расстройством, связанным с WTC».
Шон А.П. Клаустон, доктор философии, ведущий исследователь, профессор программы общественного здравоохранения и кафедры семейной, демографической и профилактической медицины, Медицинская школа Возрождения (RSOM), Университет Стоуни-Брук
Оценивая структурные изображения мозга 99 участников, ответивших на WTC, исследователи обнаружили доказательства широко распространенных изменений в GWC в Снижение GWC в обоих полушариях головного мозга у людей с посттравматическим стрессовым расстройством может означать, что в этих областях содержится больше миелина, чем обычно у людей, подвергшихся травме без посттравматического стрессового расстройства. Они также обнаружили, что GWC можно комбинировать с другими маркерами внутрикоркового здоровья, чтобы улучшить способность объективно идентифицировать людей, реагирующих на WTC, с посттравматическим стрессовым расстройством.
В настоящее время не существует объективных методов проверки того, сообщает ли человек о симптомах посттравматического стрессового расстройства. Измерение контраста GWC может помочь улучшить диагностику, особенно в сочетании с другими диагностическими методами.
"Биологические тесты на посттравматическое стрессовое расстройство ускользали от исследователей в течение многих лет, но наше исследование показывает, что современные аналитические методы могут начать выявлять мозговые признаки этого расстройства", - отмечает со-исследователь Роман Котов, доктор философии, профессор кафедры психиатрии и медицины. Поведенческое здоровье в RSOM.
Исследователи были удивлены, обнаружив широко распространенную дисфункцию в большей части мозга. Эти результаты также имеют важные последствия для здоровья мозга у людей с хроническим посттравматическим стрессовым расстройством, поскольку интернейроны способствуют координации мышления при симптомах. Люди с межнейронными изменениями часто испытывают изменения в физическом функционировании, которые могут привести к проблемам с движением и инвалидности.
Со-исследователь Бенджамин Люфт, доктор медицинских наук, директор Программы здоровья и благополучия Всемирного торгового центра. Стоуни Брук, профессор медицинского факультета RSOM, заключает: «Наше исследование, основанное на данных других исследований, показывает, что посттравматическое стрессовое расстройство связано с измеримыми физическими изменениями в структуре мозга, предлагая биологические доказательства того, что травма изменяет целостность нейронов. Эти результаты указывают на новые подходы к диагностике и лечению».

19:00







